Микропрепарат миокарда при ишемическом инфаркте с ранними признаками репарации

Микропрепарат миокарда при ишемическом инфаркте с ранними признаками репарации

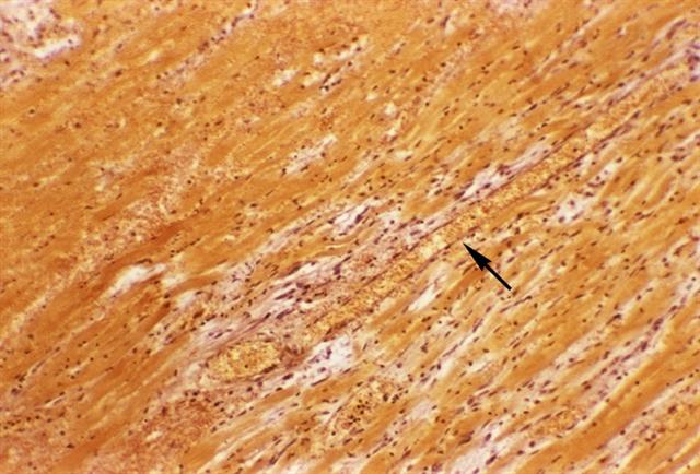
Рис. 6. Микропрепарат миокарда при ишемическом инфаркте с ранними признаками репарации: в левом верхнем углу видна зона некроза, а в прилежащем к ней миокарде — многочисленные фибробласты вокруг сосуда (указан стрелкой); окраска по Ван Гизону; ´100.


Перейти к статье «Инфаркт миокарда»