Двухмерная эхокардиограмма при верхушечной кардиомиопатии

Двухмерная эхокардиограмма при верхушечной кардиомиопатии
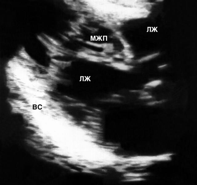
Рис. 5а). Двухмерная эхокардиограмма при верхушечной кардиомиопатии: ПЖ — правый желудочек, МЖП — межжелудочковая перегородка, ЛЖ — левый желудочек, ВС — верхушка сердца. Видно значительное нарастание толщины миокарда левого желудочка в направлении от основания к верхушке сердца.