
|
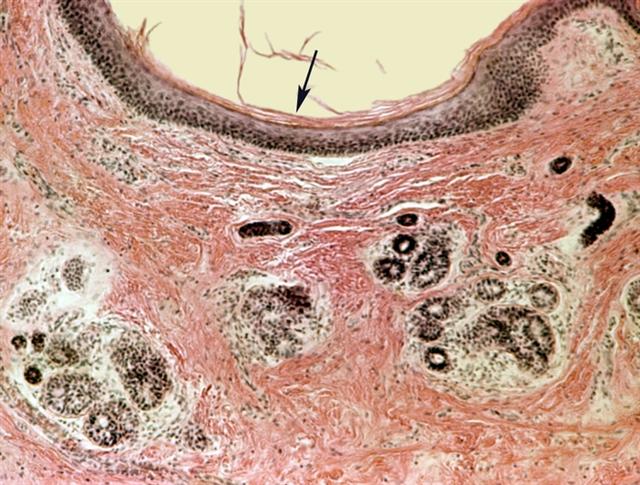
Рис. 1. Микропрепарат стенки дермоида: внутренняя поверхность кисты покрыта многослойным плоским ороговевающим эпителием (указан стрелкой), в толще стенки среди грубоволокнистых прослоек соединительной ткани расположены группы желез (придатки кожи); окраска гематоксилином и эозином; ´80. |