Рентгенограмма левой почки при почечно-каменной болезни

Рентгенограмма левой почки при почечно-каменной болезни

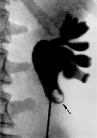
Рис. 2. Рентгенограмма левой почки при почечно-каменной болезни: почечные чашечки и лоханки расширены, в лоханочно-мочеточниковом сегменте виден дефект наполнения, образованный камнем (указан стрелкой).


Перейти к статье «Пиелография»