Двухмерная эхокардиограмма больного с обструктивной гипертрофической кардиомиопатией

Двухмерная эхокардиограмма больного с обструктивной гипертрофической кардиомиопатией
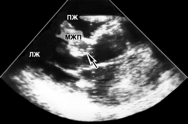
Рис. 4а). Двухмерная эхокардиограмма больного с обструктивной гипертрофической кардиомиопатией: ПЖ — правый желодочек, МЖП — межжелудочковая перегородка, ЛЖ — левый желудочек.