Рентгенограмма грудной клетки больного с эозинофильными летучими инфильтратами

Рентгенограмма грудной клетки больного с эозинофильными летучими инфильтратами

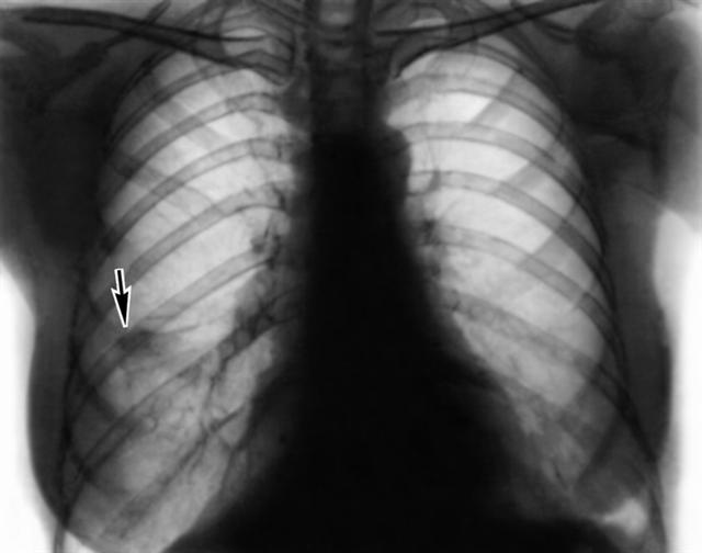
Рис. 1а). Рентгенограмма грудной клетки (прямая проекция) больного с эозинофильными летучими инфильтратами — одиночный инфильтрат в правом легком (указан стрелкой).


Перейти к статье «Лёффлера синдромы»