Рентгенограмма пищевода при наличии послеожогового пищеводно-медиастинального свища

Рентгенограмма пищевода при наличии послеожогового пищеводно-медиастинального свища
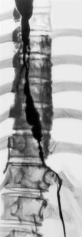
Рис. 10. Рентгенограмма пищевода при наличии послеожогового пищеводно-медиастинального свища: определяется затек рентгеноконтрастного вещества в средостение.