Урограмма при злокачественной опухоли мочевого пузыря

Урограмма при злокачественной опухоли мочевого пузыря
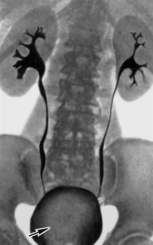
Рис. 3. Урограмма при злокачественной опухоли мочевого пузыря: виден дефект наполнения, обусловленный опухолью мочевого пузыря (указан стрелкой).