Электронограмма коллагеновых волокон пяточного сухожилия

Электронограмма коллагеновых волокон пяточного сухожилия
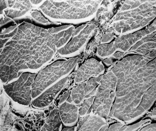
Рис. 1б). Электронограмма коллагеновых волокон пяточного сухожилия. Сканирующая электронная микроскопия; ´50.