Множественные кальцификаты в легких у больного хронической формой гистоплазмоэа

Множественные кальцификаты в легких у больного хронической формой гистоплазмоэа

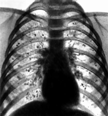
Рис. 1. Множественные кальцификаты в легких у больного хронической формой гистоплазмоэа.


Перейти к статье «Гистоплазмоз»