Катаральный гингивит

Катаральный гингивит

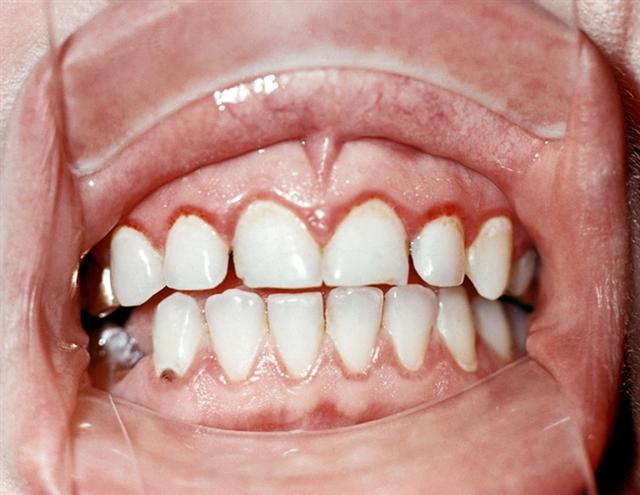
Рис. 1. Катаральный гингивит: гиперемия десневого края.


Перейти к статье «Гингивит»