Гигантоклеточный эпулис

Гигантоклеточный эпулис

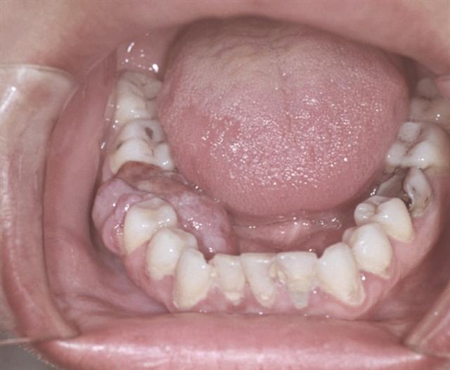
Рис. 3. Гигантоклеточный эпулис: бугристое образование — преимущественно на внутренней поверхности нижней челюсти, охватывает область удаленного зуба.


Перейти к статье «Эпулис»