Миелограмма поясничного отдела позвоночника в норме

Миелограмма поясничного отдела позвоночника в норме

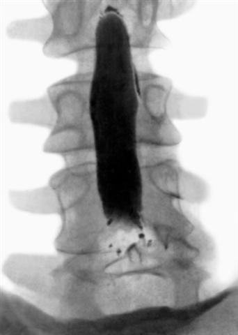
Рис. 4а). Миелограмма поясничного отдела позвоночника в норме: прямая проекция.


Перейти к статье «Позвоночник»