Микропрепарат почки при гнойном пиелонефрите

Микропрепарат почки при гнойном пиелонефрите

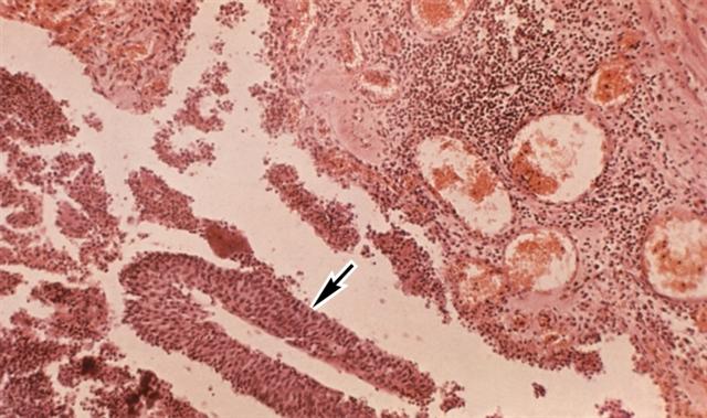
Рис. 5. Микропрепарат почки при гнойном пиелонефрите: стрелкой указан пласт спущенного эпителия лоханки; окраска гематоксилином и эозином; ´80.


Перейти к статье «Пиелонефрит»