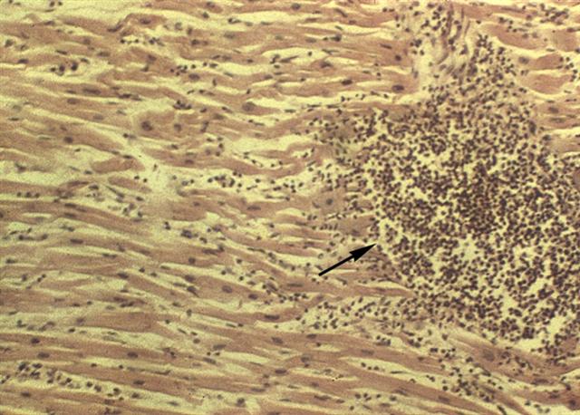
Абсцедирующий миокардит
Рис. б). Микроабсцессы различной локализации (указаны стрелками): абсцедирующий миокардит. Окраска гематоксилином и эозином; х100.
Перейти к статье «
Абсцесс
»